2025年11月18日
西武新宿線新井薬師前駅南口より徒歩1分/k関東バス 新井薬師前駅乗り場 目の前/りそな銀行中野支店新井出張所ATM隣にある、クラフト歯科クリニック新井薬師前です。
中野区に2025年10月に新規開院致しました。
みなさんは歯科用CTについてご存じですか?
「普通のレントゲンと何が違うの?」と思う方も多いはずです。
今回は当院でも使用している歯科用CTについてご紹介いたします。

歯科用CTとは
歯科用CTとは口腔内のレントゲンを立体的(3D)に撮影ができる装置の事です。
従来のレントゲンは歯や顎の骨、神経、血管などを平面(2D)でしか確認する事ができませんでした。
3Dのレントゲンを撮影することで、2Dのレントゲンでは確認できない歯の根の形態や病巣の広がり、骨の厚み等を診断が可能になります。

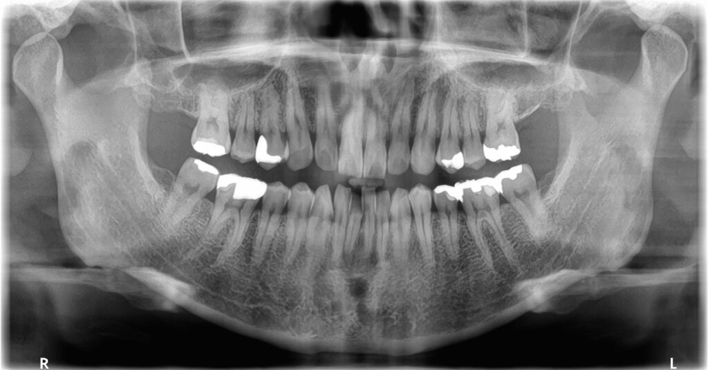
↑従来のレントゲン(2D)

↑歯科用CT(3D)
歯科用CTはどんな時に使うの?
・インプラント治療
インプラント治療を行う前にCT撮影を行い、骨の状態や神経の位置を正確に診断し治療計画を立てます。
・親知らずの抜歯
親知らずが生えている位置や根の形、周りの骨や神経との位置関係を確認します。特に横向きに生えているときや、根の先が神経が近い時にCTで事前に確認することでリスクの回避やスムーズな抜歯が可能となります。
・歯の根っこの治療(根管治療)
歯の根は複雑な形態をしている場合があります。歯の根っこ(根管)がどの様な状態になっているか、根っこの周りに膿がたまっていないかなどをCTを撮影し診断します。
・破折歯の診断
歯が割れてしまっていても、肉眼や通常のレントゲン撮影では発見できない場合があります。CT撮影を行うことで破折線の確認が可能となります。
・歯周病の診断
歯周病は歯を支えている顎の骨が溶けて減ってくる病気です。CT撮影で骨の減り方や重症度を診断することが可能です。
・顎の関節や骨の問題
顎の痛みや顎関節症がある場合、顎の関節や骨の状態をCTで確認して問題の原因を特定するのに役立ちます。
・痛みの原因がわからない時の精密検査
通常のレントゲンでは確認が難しいトラブルも発見しやすくなります。
歯科用CTのメリット
・詳細な情報が得られる
CTは歯や顎の状態を3Dで立体的に見ることができるので,普通のレントゲンよりも正確な情報を得ることができ、最適な治療方法を選ぶことができます。
・治療の計画が立てやすくなる
正確な画像をもとに治療計画を立てる事ができるので無駄な治療を避け、治療がスムーズに進みます。
・低い放射能
歯科用CTは低い放射能を使っているので放射線量が少なく、負担が少ないです。
歯科用CTを受けるための注意点
・妊娠中の方はご相談を
妊娠中の方は放射線を避けたほうがいい場合があります。CTを受ける前に妊娠していることをお伝えください。
・体調が不安な時は伝える
CTの撮影はすぐに終わりますがもし体調が不安な方はその旨をお伝えください。
・痛みはない
CTの撮影は痛みはないのでリラックスして受けることができます。数秒間静かにその場に立っているだけで撮影は完了します。
最後に…
歯科用CTは正確な診断・安全な治療・納得のいく説明のために欠かせない設備です。
当院では皆様のお口の健康を守るため最適な診断と治療に努めております。
お困りごとがある方は是非ご利用ください。
クラフト歯科クリニック新井薬師前
院長 高良海輔
